【WEB初診予約】予約の空き状況
抜歯したい
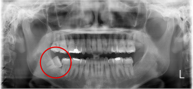
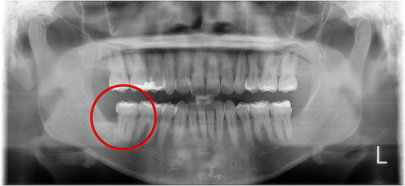
症例

before
after
| ■性別・年代 | 女性・40代 |
|---|---|
| ■治療内容 | 汚れが溜まり虫歯があり右下の親知らずを抜歯しました。 |
| ■金額 | 埋伏抜歯 5,120円 CT 4,400円 |
| ■治療期間 | 1日 |
| ■通院回数 | 1回 |
| ■リスク・副作用 | 抜歯後にしびれが出ることや、まれに腫れや痛みが長引くことがあります。 |
蒲田駅前で出来るだけ「痛くない・怖くない」親知らず治療を
親知らずの抜歯は、誰にとっても不安なものです。「すごく腫れるのではないか」「痛みが長引くのでは?」といった不安に寄り添い、当院では最新設備と確かな技術で、体への負担を最小限に抑えた処置を行っています。
ただし親知らずは基本的に「人間の口腔環境に悪影響を及ぼすとき」「生えてきて悪影響を及ぼすとき」に抜く必要があります。
つまり、将来的に悪影響のない親知らずは残しておいた方が良いのです。
そのため、抜かないことを決める際には、信頼できる親知らずの専門医を訪ね、現在の親知らずの状態を把握することが重要です。
当院に来院された方には、きちんとした診察をさせていただきます。
複雑に生えた親知らずの場合は、信頼できる大学病院を紹介する場合もあります。患者様にとって最適な治療を追求いたします。
【親知らずを残す理由】親知らずの再利用(移植)
親知らずは再利用(移植)できるため、問題ない親知らずは残しておくとよいでしょう。 以下のような例が考えられます。
・虫歯で他の歯を抜いた場合、抜いた部分に親知らずを移植し、咬合を回復させる。 ・親知らずの手前の歯を抜いた場合、親知らずを矯正にて手前に移動させる。 ・親知らずの手前の歯を抜いた場合、その親知らずをブリッジ治療に使用し、抜いた部分を含めた3本の歯並びを整える。
このような例が考えられることから、「口腔環境に悪影響を与えない親知らず」は、再利用のために残しておくのが賢明です。 自分の歯はインプラントや入れ歯よりも生体親和性が高いため、悪さをしない親知らずは積極的に除去する必要はありません。
親知らずの移植には条件があります(移植)
すべての親知らずを希望する部位に移植できるわけではありません。 親知らずの根の形や大きさ、インプラントの予定部位などを考慮し、移植が可能な場合は親知らずの利用を積極的に提案します。
親知らずの抜歯が適切な場合
- 01親知らずが歯茎から少し出ていて、歯磨きなどがしにくい場合
- 親知らずが横や斜めに生えている場合は、通常、歯ぐきから少し露出していることが多いようです。
この場合、毎日の歯磨きでも維持することが難しく、放置しておくと歯周病や虫歯のリスクが高まります。
そのため、早期の抜歯が適切です。
- 02親知らずが手前の歯を押し、歯並びと影響を与える場合
- 親知らずが横向きや斜めに生えている場合、歯並びへの影響が心配されます。
特に前歯が強く圧迫されている場合、歯並びに悪影響が起こりやすいので、痛みの有無に関わらず抜歯が望ましいです。
- 03親知らずの周囲に膿がある場合
- レントゲンを撮ると、親知らずの周りに影が見えることがあります。
これは嚢胞と呼ばれる膿の塊です。
放っておくと親知らずの移動により周囲に悪影響を及ぼす可能性があります。
そのような場合は、抜歯をするのが一番です。
- 04かみ合わせが悪く、歯ぐきや頬を傷つけるおそれがある場合
- 親知らずがかみ合わないでいると、成長とともに歯ぐきや口の中の粘膜を傷つけてしまうことがあります。
また、顎関節症を引き起こすリスクもあるので、この場合は親知らずを抜いた方がよいでしょう。
- 05親知らずの虫歯がひどい場合
- 親知らずの生え方によっては、ブラッシングがしにくく、親知らず自体が虫歯になるケースも少なくありません。
そのような場合、抜歯が選択肢となることもあります。
当院の抜歯が「安心」な3つの理由
1.病院口腔外科に従事していた歯科医師在籍
病院の口腔外科での勤務経験があり、親知らずの抜歯を数多く経験してきた松本ドクターが在籍しています。
専門性の高い知識と技術を活かし、難症例にも対応可能です。
患者様の負担を抑えるため、痛みや腫れに十分配慮した治療を行っています。
口腔外科担当歯科医師松本 恵美
2.歯科用CTによる「3次元精密診断」
通常のレントゲンでは見えない、歯の根の曲がり具合や、神経・血管との位置関係をミリ単位で把握します。 これにより、手術時間の短縮と、神経損傷などのリスクを大幅に軽減します。
3.痛みへの配慮
「抜歯中」は麻酔をしっかり施すため、強い痛みを感じることはほとんどありません。「抜歯後」の痛みについては、事前のCT診断による精密なシミュレーションで処置時間を短縮し、お体への負担を最小限に抑える「低侵襲(ていしんしゅう)治療」で抑制に努めています。
また、術後の激痛の原因となる「ドライソケット(傷口の骨が露出する状態)」を防ぐため、ご希望の方には人工コラーゲンを用いた保護処置も行っています。万が一、痛みが続く場合も適切に処置いたしますのでご安心ください。
「抜歯時の痛み」と「抜歯後の痛み」
親知らずの抜歯については、「抜歯時の痛み」と「抜歯後の痛み」は別物です。
まず、「抜歯時の痛み」についてですが、他の歯と同じように麻酔をして抜歯しますので、抜歯時に強い痛みがあるわけではありません。
「抜歯後の痛み」については、麻酔が切れた時に発生することがあります。
抜歯後の穴がかさぶたにならない場合、骨が露出して強い痛みを感じることがありますが、その場合は穴をふさぐ治療を行いますのでご安心ください。
- 抜歯時間が長いと痛みがでやすい?
- 親知らずの生え方によっては、抜歯が難しくなり、抜歯にかなりの時間がかかることがあります。
抜歯に時間がかかるということは、その部分の穴が大きいため、麻酔がきれるときに痛みを感じる確率が高くなると推測されます。
事前にCTやレントゲンを使用し、経験豊富な歯科医師による抜歯のシミュレーションを行った上で、身体への負担が少ない治療(低侵襲治療)を目指しますのでご安心ください。
- ドライソケットの痛み
- 親知らずを抜いた後に穴が開き、中に血液が溜まります。
この血栓が穴を覆っているのです。
ドライソケットとは、血栓がはがれ、顎の骨が露出して激痛が走る現象のことです。
放っておくと痛みが長引くこともありますので、抜歯後はなるべく口をすすがない、食べ方に注意するなどの配慮をお願いします。
希望者には、抜歯後の穴に人工コラーゲンを塗布してドライソケットを予防する方法もあります。
親知らずと顔の輪郭の関係
女性からよく聞かれるのが、「親知らずの抜歯で小顔になれるのか?」という質問です。
それに対して私は、「理論的には顔が小さくなりますが、明確な変化は期待できません」と答えるようにしています。
下顎の親知らずは顎と呼ばれるあたりに存在するため、抜歯をすると骨が吸収され、顎が少し細くなります。
しかし、親知らずを抜いたからといって、明らかに小顔になるなどの変化は期待できないのが現実です。
ですから小顔になりたいという理由で親知らずを抜かないほうがいいのです。
抜歯後のスケジュール
| 時期 | 状態・過ごし方の目安 |
|---|---|
| 当日 | 2〜3時間は麻酔が効いています。お食事は麻酔が切れてから。 |
| 翌日〜3日目 | 腫れや痛みのピークです。痛み止めでコントロール可能です。 |
| 1週間後 | 糸抜き(抜糸)を行います。この頃には違和感も少なくなります。 |
| 1ヶ月~3か月後 | 歯ぐきの穴が徐々に塞がってきます。 |
親知らず以外の口腔外科メニュー
親知らず以外にも、お口周りや顎(あご)のトラブルに幅広く対応しています。
「どこに相談すればいいかわからない」というお悩みも、まずはお気軽にご相談ください。
顎関節症(あごの痛み・違和感)
「口を大きく開けると痛い」「あごがカクカク鳴る」「口が開きにくい」といった症状は顎関節症の可能性があります。
生活習慣のアドバイスから、マウスピース(スプリント)を用いた治療、筋肉の緊張を和らげる処置など、症状に合わせた改善策をご提案します。
お口周りのケガ(外傷)
転倒や衝突などによるお口のトラブルに緊急対応いたします。
歯が折れた、抜けた:抜けた歯を乾燥させずに持参いただければ、再植できる可能性があります。
お口の中や唇が切れた:止血や傷口の縫合、粘膜の処置を行います。
歯がぐらつく:ぶつけた衝撃で歯が動いてしまった場合、隣の歯と固定して安静を図ります。
粘膜疾患・できもの(口内炎など)
「口内炎がなかなか治らない」「歯ぐきや舌に白いできものがある」「頬の裏が腫れている」といった症状を診察します。
単なる口内炎から、口腔がんの初期症状まで、早期発見・早期治療が重要です。
視診や触診の結果、より高度な検査が必要な場合は、速やかに大学病院などの専門機関をご紹介します。
親知らずは適切な診断が大事
「親知らずは抜いた方がいい」と思われがちですが、抜いた方がいいかどうかは、その人の親知らずや口腔内の環境次第であることをご説明してきました。
経験豊富な医師がレントゲン撮影と合わせて精度の高い診断を行いますので、親知らずでお悩みの方は、お気軽にご来院ください。
また複雑に生えた親知らずの場合は、信頼できる大学病院を紹介する場合もあります。
患者様にとって最適な治療を追求いたします。










